Dental Veneers Treatment for a Perfect Smile in Parker, CO
Twin Aspen Dental Center Offers High-Quality Dental Veneers
Dr. Brian Richter and the team at Twin Aspen Dental Center are proud to offer dental veneers to patients throughout Parker, CO and the surrounding area. Many individuals do not know where to turn when they face embarrassment because of chipped, crooked, or discolored teeth. Modern cosmetic dentistry can help transform your smile and restore your confidence. If you need to fix gaps in your teeth or are unhappy with anything about your smile, dental veneers may be right for you. Twin Aspen Dental Center features state-of-the-art technology to help correct the aesthetic features of your smile so that you are proud to flash your pearly whites in public. Let us help you achieve the smile of your dreams with affordable dental veneers in Parker, CO. Call us today to get started.
Understanding the Basics of Dental Veneers
Dental veneers are thin pieces of translucent porcelain that cover the surface of your teeth to improve their appearance. They also provide strength and resilience to mimic natural tooth enamel. They can change the size, shape, color, and length of your teeth to help you achieve a camera-ready smile. Veneers are available for patients who need to fix a single tooth, but most opt for multiple veneers to create an even, uniform smile. Our office can customize veneers to fit every smile.
We Create Affordable Dental Veneers
When you choose Twin Aspen Dental Center, you will be in good hands with your cosmetic dentistry. The veneer process normally entails two appointments. At the first appointment, we will shape your teeth to get them ready for the final veneers. You leave the office wearing temporary veneers. In between appointments, you may need to visit Twin Aspen’s ceramist who will customize the desired shade that best suits your wants and needs. You then return for your second appointment at which the temporaries come off and permanent veneers go on. Next step, smiling for the world to see that new, sparkling smile!
Benefits of Dental Veneers
The most obvious benefit of dental veneers is an improved smile. When applied directly to the surface of your teeth, dental veneers can transform your smile from one you want to hide into one you are proud to show the world. But veneers can also improve the health of your teeth. The benefits of dental veneers include:
- Whiter smile – If you spend decades drinking coffee, smoking cigarettes, or eating foods high in pigment, your teeth may turn yellowish-brown. Rather than hiding your smile, consider dental veneers. They are stain-resistant and can whiten your smile for good.
- Cosmetic correction – Minor problems such as chipped teeth, numerous fillings, lack of uniformity, or gaps in your teeth can be embarrassing. But dental veneers can hide these issues and allow you to present a straight, even smile.
- Improved enamel – Dental veneers can replace damaged enamel. Though natural enamel is durable, it can erode due to heavy brushing or highly-acidic foods and drinks. This is concerning because enamel does not grow back. But veneers can replace it and strengthen your teeth.
Determining the Cost of Dental Veneers
The cost of dental veneers will vary depending on their composition, brand, and how many you apply. Because they are considered cosmetic, insurance will typically not cover dental veneers. However, Twin Aspen Dental Center aims to make them affordable so that you can have the confidence and smile you deserve. The average cost of a dental veneer is roughly $1,000, but if taken care of properly, can last a lifetime! Contact our staff to discuss your needs.
Caring for Dental Veneers
You will not need an extended recovery process following dental veneer placement like you would with other dental procedures. Once they are in place, you are free to eat the foods you usually would. To extend the lifespan of your dental veneers, we recommend using your back teeth to chew harder foods, avoiding using your teeth to open packaging, and wearing a splint to protect your teeth in the night.
Contact Twin Aspen Dental Center for Veneers Today
To help ensure that you have the confidence to smile from ear to ear in public, Twin Aspen Dental offers affordable dental veneers at our office in Parker, CO. Dir. Richter and his team can handle every step of the process, from your initial consultation to applying the veneers to your teeth. We are happy to discuss the benefits and procedures with you, so contact us today to schedule an appointment.
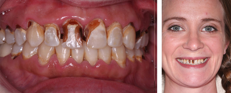
Courtney’s One Day Makeover
Courtney had a wedding to go to…HER OWN! Naturally, she wanted to be able to smile in her own wedding pictures, but the damage from her childhood created by sugary drinks and poor brushing routines created these dark regions of remineralization. That’s right, later in life, Courtney learned to take better care of her dental health, and the dark regions that you see are actually the enamel healing itself! Courtney still thought her teeth were unsightly and decided to do something about them before her wedding. She got a one-day-makeover at Twin Aspen Dental Center with dental veneers that are beautiful, tough, and permanent! Just look at the difference: